雲林七旬翁腹脹就醫 彰基達文西SP單孔手術助快速康復
記者鄧富珍/彰化報導

張譽耀主任表示,老翁提前住院補充靜脈營養,體力改善後使用單孔達文西手術,術後傷口癒合佳、疼痛輕微,恢復良好。/彰基醫院提供
雲林七旬老翁八年前曾在國民健康署大腸癌篩檢中出現糞便潛血反應,進一步接受大腸鏡檢查時發現息肉,但因檢查過程不適而中途放棄,未進一步治療。近年他出現腹脹、排便困難與頻繁便意,一天幾乎有一半時間待在馬桶上,生活品質大受影響。
家人陪同下,他至雲林基督教醫院就診,醫師安排舒眠大腸鏡,老翁「睡一覺就完成檢查」,無再不適。然而檢查發現大腸異常病灶,需接受手術治療。為減少手術疼痛、加快恢復,家屬決定轉至彰化基督教醫院,由大腸直腸外科張譽耀主任以達文西單孔SP系統操作。

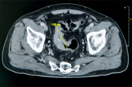
老翁罹患乙狀結腸癌,腫瘤約7公分造成腸子幾乎完全阻塞。圖/彰基醫院提供
大腸直腸外科主任張譽耀表示,老翁罹患乙狀結腸癌,腫瘤約7公分,幾乎完全阻塞腸道,導致進食後腹脹與疼痛。長期不敢進食,使體重下降、營養不良,若腸道傷口癒合不良,可能引發腸吻合滲漏甚至須製作人工肛門。經提前住院、靜脈營養補充後,患者身體狀況改善再手術,術後傷口順利癒合,疼痛低於預期,老翁驚喜表示,「沒想到這麼快就能下床,真的很感謝醫師。」
彰基為全台少數擁有達文西SP單孔系統醫院,能在狹小空間中操作,並透過自然孔進行微創手術,兼顧外觀與功能,術後出血少、住院時間短。系統啟用首日,總院長陳穆寬教授完成兩例頭頸癌切除手術,皆為零疤痕。彰基同時具備達文西多孔與SP單孔系統,可依病症選擇最適微創方式,提升患者術後生活品質與康復效率。

彰基同時配置達文西多孔系統與SP單孔系統,針對不同手術需求互補運用,為病人量身打造更精準、個人化的微創治療。圖/彰基醫院提供

國人大腸癌發生率高,提醒民眾可利用國健署糞便潛血篩檢及早發現、及早治療,降低惡化風險,守護健康。圖/彰基醫院提供
更多新聞推薦
● 高市衛生局檢驗大翻車 承認全聯「台灣鯛魚排」未檢出動物用藥- 記者:記者鄧富珍/彰化報導
- 更多健康新聞 »
