小朋友運動「過度」後腳痛別輕忽 醫:恐是「應力性骨折」警訊
記者吳順永/台南報導

陳建宏醫師
寒暑假是孩子們最期待的時光,家長們會鼓勵孩子多參與田徑、球類、游泳等活動,培養運動習慣,減少使用3C。然而,運動帶來健康的同時,也暗藏「過度」風險。
近日,陳建宏骨科診所接獲一名11歲女學童就醫個案,該學童因暑期密集參加田徑與球類訓練,右側腳掌疼痛兩周未緩,檢查後確診為「蹠骨應力性骨折」,且已出現癒合跡象。
陳建宏醫師表示,此案例改變大眾「應力性骨折」僅發生於成人或專業運動員的刻板印象,醫師特別提醒,孩童骨骼仍在發育,過量運動易致骨頭不堪負荷,家長與師長需提高警覺。
陳建宏醫師說明,蹠骨位於腳掌前端,承受人體走路、跑跳時的主要壓力。當骨頭長期反覆承受過大的應力,而缺乏足夠休息與修復時間時,便可能出現顯微的骨折,這就是所謂的「應力性骨折」。

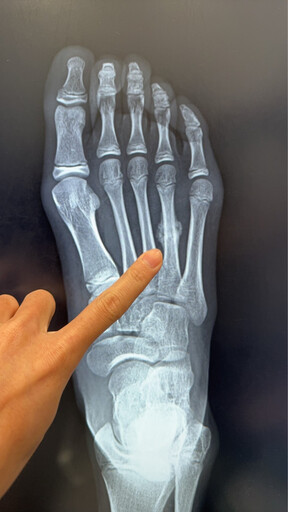
11歲女學童右側腳掌「蹠骨應力性骨折」,且已出現癒合跡象。
與一般一次性外力造成的骨折不同,「應力性骨折」大都是長時間累積而成,初期症狀並不明顯,容易被誤為只是一般的拉傷或扭傷。就像此位11歲的小妹妹,問診詢時已經不舒服兩周,當初本以為只是單純扭到,沒想到卻已經骨折了。
許多人以為小朋友的骨骼彈性大,不容易骨折。事實上,兒童與青少年的骨骼正處於快速成長期,若在短時間內大幅增加運動量,或使用不合適的鞋具、缺乏正確的暖身與放鬆,也可能導致骨頭「不堪負荷」。這位 11 歲女童正是因為暑假每天高強度的超負荷,加上休息不足,最終罹患了「應力性骨折」。
「應力性骨折」臨床症狀多半是「隱隱作痛」,在運動或走路時加劇,休息後稍微緩解,但一旦持續忽略,疼痛可能逐漸加重,甚至影響正常行走,或是運動表現。小朋友常因為不善於表達疼痛,或是擔心誤以為教練認為他偷懶認為忍一忍就好,導致延誤就醫。因此,家長若發現孩子在活動後經常抱怨腳痛,甚至有局部腫脹或壓痛點,就應該提高警覺。
預防建議1.循序漸進:運動量應逐步增加,避免短時間,突然大幅度加強訓練。2.合適鞋具:選擇具有支撐與避震效果的運動鞋,檢查鞋碼是否合腳(孩童腳部生長快,建議每3-6個月更換一次鞋具)。3.保證充分休息:每日訓練後需給予骨骼、肌肉足夠恢復時間,避免連續高強度訓練。4.均衡補充營養:攝取足夠的鈣質(如牛奶、豆腐)、維生素D(如蛋黃、深綠色蔬菜,或適度曬太陽)與蛋白質(如魚肉、瘦肉)。5.定期專業評估:若孩子參加長期密集訓練(如校隊、夏令營),建議每1-2個月由骨科醫師或物理治療師檢查骨骼與肌肉狀況,及時調整訓練計畫。
陳建宏醫師強調,「應力性骨折」不分年齡,只要有疑慮,就應盡早就醫檢查,才能讓孩子在安全中快樂運動,守護成長路上的骨骼健康。
更多新聞推薦
● 秋日雅行首選虎山溪 享受深層慢活時光- 記者:記者吳順永/台南報導
- 更多健康新聞 »
